Berühmter Urologe: Ich schaffe es, Prostatitis bei Patienten im Alter zwischen 60 - 70 Jahren, zu heilen
Jetzt können Sie ProstAktiv bestellen – das effektivste Mittel zur Beseitigung von Prostatitis-Symptomen, zu -50 % des Preises, auf der offiziellen Website des Herstellers. Weitere Informationen finden Sie weiter unten.
Unser Korrespondent interviewte den führenden Spezialisten des Privaten urologischen Zentrums, Herrn Hans Huber. Er ist einer der gefragtesten Spezialisten unter seinen Kollegen und bekannt für einen sorgfältigen Ansatz zur Behandlung von Prostatitis, Prostataadenom und erektiler Dysfunktion.

- Herr Huber, Sie haben Patienten zwischen 60 und 70 Jahren. Ist es wirklich notwendig, in diesem Alter Sex zu haben?
- Natürlich, ja! Vor allem für Männer. Das Sexualleben ist ein Faktor, der die allgemeine Gesundheit bestimmt, was bedeutet, dass es eine Art biologische Uhr ist, von der der Alterungsprozess abhängt.
Wenn ich Prostatitis-Patienten sehe und sie frage, wann sie das letzte Mal Sex hatten, lachen sie und sagen etwas wie: "Ich habe seit sieben Jahren keinen Sex mehr gehabt." Natürlich bin ich überrascht von ihrer Antwort. Längere Abstinenz kann Prostatitis verursachen, die sich später in ein Adenom und sogar Prostatakrebs verwandeln kann.
Der Mangel an Sex ist gefährlich für den Körper, unabhängig davon, wie alt Sie sind – 30, 40, 50 oder sogar 70! Die Prostata ist das Organ, das Samenflüssigkeit produziert. Wenn sie nicht ejakuliert, beginnt das Prostatagewebe an, zu zerfallen. Es entwickelt sich eine Stagnation und Entzündung.
Natürlich sind dies nicht alle Ursachen für Prostatitis – schlechte Blutgefäße, Bakterien, Unterkühlung ... All dies kann eine akute oder chronische Prostatitis hervorrufen, besonders bei älteren Männern.
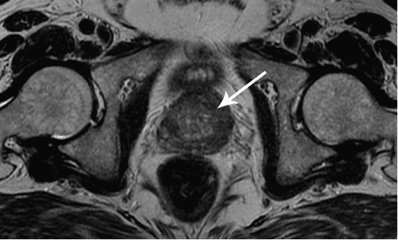
Ich möchte Ihnen ein paar Fotos zeigen, um zu zeigen, was im Urogenitalsystem und anderen Organen eines Mannes vor sich geht, der keinen Sex hat.

So sieht eine Entzündung der Prostata aus, die durch Stagnation der Spermien verursacht wird (wenn die Hoden nicht geleert werden). Eine anhaltende Entzündung führt zuerst zu einem Prostataadenom und dann zu Krebs. Dies ist eine unvermeidliche Folge von Prostatitis, daher wird es als "Krankheit der älteren Generation" bezeichnet.

Prostatakrebs bei einem Mann mit 58 Jahren.

Als Folge der Stagnation wird Cholesterin an den Wänden der Blutgefäße abgelagert, was zu einer Verengung ihres Lumens und zur Bildung von Mikrothromben führen kann. Dies beeinträchtigt die Versorgung der Prostata und unterstützt die Entzündung in ihr.
- Einige Patienten behaupten, dass Sie in Ihrer Klinik ausschließlich Medikamente zur Behandlung von Prostatitis verwenden. Stimmt das?
- In unserer Klinik gab es immer einen hohen Prozentsatz von Genesungen, von verschiedenen Krankheiten. Wir verwenden hochwirksame Medikamente, da nur diese in schweren Fällen helfen können. Aber nicht alle Fälle sind schwer. Außerdem ist eine komplexe Prostatitis-Therapie wichtig. Deshalb verwenden wir auch ein von unserem Institut entwickeltes Mittel – ProstAktiv.
ProstAktiv ist ein klassisches Mittel für die Gesundheit von Männern. Seine Wirkung zielt darauf ab, entzündliche Prozesse in der Prostata und urologische Störungen bei Männern zu beseitigen, die die Ursache für Prostatitis sein können.
- Könnten Sie bitte etwas über seine Wirksamkeit sagen?
- Das ist wirklich ein großartiges Mittel. Ich empfehle immer ProstAktiv, welches Sie auf der speziellen Website mit einem Rabatt von -50 % bestellen können.
Was die Wirksamkeit von ProstAktiv betrifft, möchte ich Ihnen die Ergebnisse der klinischen Studien, durchgeführt von Spezialisten des Instituts, in den Jahren - , zeigen. An der Studie nahmen 50 Männer, älter als 50 Jahre, teil. Die meisten hatten im Laufe der Jahre Probleme mit der Prostata und/oder dem Sexualleben.
Ergebnisse der Studie:
- Beseitigung unangenehmer Symptome - bei 96 % der Patienten
- Erhöhtes sexuelles Verlangen - bei 94 % der Patienten
- Normalisierung des Wasserlassens - bei 98 % der Patienten
- Entfernung von Entzündungen in der Prostata - bei 99 % der Patienten
- Keine Nebenwirkungen - bei 100 % der Patienten
Das Prinzip der Wirkung von ProstAktiv auf das Urogenitalsystem von Männern
Wir wollten einen seiner Entwickler, Professor Tobias Lang, einen Urologen, Leiter der Abteilung für Urologie, bitten, weitere Informationen über die Wirkung von ProstAktiv, auf das menschliche Urogenitalsystem, bereitzustellen.

- Herr Lang, warum ist ProstAktiv bei der Behandlung von Prostatitis und Störungen im Sexualleben, bei Männern zwischen 60 - 70 Jahren, wirksam?
- ProstAktiv senkt maximal das Risiko einer Prostatitis, sowie das Auftreten sekundärer entzündlicher Prozesse in der Prostata, beseitigt und reduziert die Häufigkeit von Rückfällen bei chronischer Prostatitis. ProstAktiv trägt zur Normalisierung der Prostatafunktion, bei Männern im höheren Alter, bei und zur Wiederherstellung der Prostatafunktion nach entzündlichen Erkrankungen.
ProstAktiv eignet sich optimal zur Vorbeugung von entzündlichen Prozessen in der Prostata und Prostatitis verschiedener Ätiologien. Es kann auch eingenommen werden, um die funktionelle Aktivität der Prostata aufrechtzuerhalten und den gesunden Prozess der Spermatogenese beizubehalten. Schließlich wird ProstAktiv für die Regeneration des Drüsengewebes der Prostata, nach entzündlichen Erkrankungen, empfohlen.
Nehmen Sie ProstAktiv 2 Kapseln vor dem Mittagessen und 1 Kapsel vor dem Abendessen mit einem Glas Wasser ein. Die ersten Veränderungen können bereits nach einigen Wochen bemerkt werden.
- Herr Lang, haben Sie sich dafür entschieden, dieses Wundermittel für -50 % des Preises zu verkaufen?
Genau! Ich werde dieses Produkt allen Männern zur Verfügung stellen, die ihre männliche Stärke wiederherstellen möchten. Im Moment haben wir ungefähr 1000 Packungen auf Lager und wir (ich und meine Kollegen) werden sie an die ersten Personen senden, die auf unserer Website eine Anfrage hinterlassen. Ich wiederhole: ProstAktiv wird zum HALBEN PREIS verkauft
- Was muss man tun, um ProstAktiv mit -50 % Rabatt, zu kaufen?
- 1. Sie müssen Ihren Wohnsitz in Österreich haben
- 2. Geben Sie Ihre Bestellung auf der offiziellen Website auf.
- 3. Nach 3 - 5 Tagen (Lieferzeit) können Sie Ihr Paket persönlich in die Hand nehmen.
- 4. Barzahlung bei Erhalt des Pakets.
- Stimmt es, dass ProstAktiv auch im hohen Alter die Kraft wieder herstellt? Ergebnisse der Umfrage
- Auf der Website des Privaten urologischen Zentrums, wurde eine Umfrage unter den Patienten durchgeführt, die ProstAktiv eingenommen haben.
Die Umfrage enthielt nur eine Frage: "Hat Ihnen ProstAktiv geholfen, die NATÜRLICHE Potenz wiederherzustellen?".
Hier sind die Ergebnisse:
TESTERGEBNISSE VON ProstAktiv:

Kommentare
Frank
Ich habe ProstAktiv bestellt, danke für diesen Artikel. Der Berater sagte, ich werde meine Bestellung in 2 Tagen erhalten.
Jan O.
Ich habe es auch bestellt. Ich kann seit über einem Jahr keinen Sex mehr haben, möchte aber nicht aufgeben. Ich hoffe, dass ProstAktiv mir hilft.
Leon E.
Ich kann bestätigen, dass das absolut wahr ist! ProstAktiv ist wirklich effektiv. Ich bin 54 Jahre alt und hatte bis vor kurzem periodische Exazerbationen der Prostatitis. Ich habe viele Mittel ausprobiert. Natürliche Rezepte, Pillen, ich habe mich an mehrere Urologen gewandt. Nur dieses Mittel hat mir geholfen. Jetzt lebe ich ein aktives Männerleben und habe die Probleme vergessen.
Alexander
Nach der Einnahme der Kur von ProstAktiv fühlte ich mich besser.
Alexander F.
Ich habe ProstAktiv bestellt, solange es noch verfügbar ist. Dies ist das erste Mal, dass ich etwas über das Internet bestellte, aber es ist nicht schwer. Und es ist ziemlich sicher, weil die Zahlung nach Erhalt des Pakets erfolgt.
Louis
Ich habe die Informationen über ProstAktiv auf ihrer Website gelesen. Beeindruckend! Ein sehr gutes Produkt für ältere Männer.
Anna
Ich denke, ich werde es für meinen Mann bestellen. Mit 48 Jahren ist er praktisch impotent. Ich bin 41 Jahre alt und habe nicht die Absicht, den Sex aufzugeben!
Günther V.
Mein 65-jähriger Nachbar hat schon lange eine Prostatitis hinter sich. Er benutzt dieses Produkt. Ich habe ProstAktiv in seinem Schlafzimmer gesehen.
Manfred Gallo
Ich habe es heute bestellt, mal sehen
Elias
Unglaublich... Ich habe vor 20 Tagen mit der Einnahme begonnen, fühle mich aber schon jünger. Bisher haben mir nur Pillen geholfen, aber sie haben viele Nebenwirkungen. Ich empfehle ProstAktiv jedem!
Karl V.
Ich bin 61 Jahre alt und leide seit 5 Jahren an chronischer Prostatitis. Ich habe mich wegen eines anderen Problems an einen Urologen gewandt und er hat ProstAktiv zusätzlich zur Therapie empfohlen. Nach der Einnahme normalisierte sich mein Zustand. Jetzt fühle ich mich viel besser.
Patrick
Ich habe ProstAktiv gestern per Post erhalten. Der Preis ist angemessen.
Helmut
Während 51 Tagen, habe ich völlig vergessen, was Prostatitis ist. Ich empfehle ProstAktiv jedem. Es ist das einzige Produkt, das wirklich funktioniert. Ich bin 59 Jahre alt.
Karl Q.
Ich habe ProstAktiv bestellt. Der Berater sagte, es seien nur noch 200 Packungen übrig und die Vorräte laufen schnell aus.